Mobile Tierhebamme

Sie sind züchter und haben einen Wurf geplant?Oder Ihr Tier wurde gedeckt und Sie wollen wissen ob es Tragend geworden ist?
Ich biete im Enzkreis diesen Haustierservice derzeit bei Hunden und Katzen an ,und komme mit meinem Mobilen Ultraschallgerät zu Ihnen nachhause um Ihr Tier in gewohnter Umgebung mit meiner langjährigen Erfahrung zu betreuen!
Folgende Dienstleistungen biete ich an:
-Sofortbesamung bei Hunden
-Ernährungsberatung
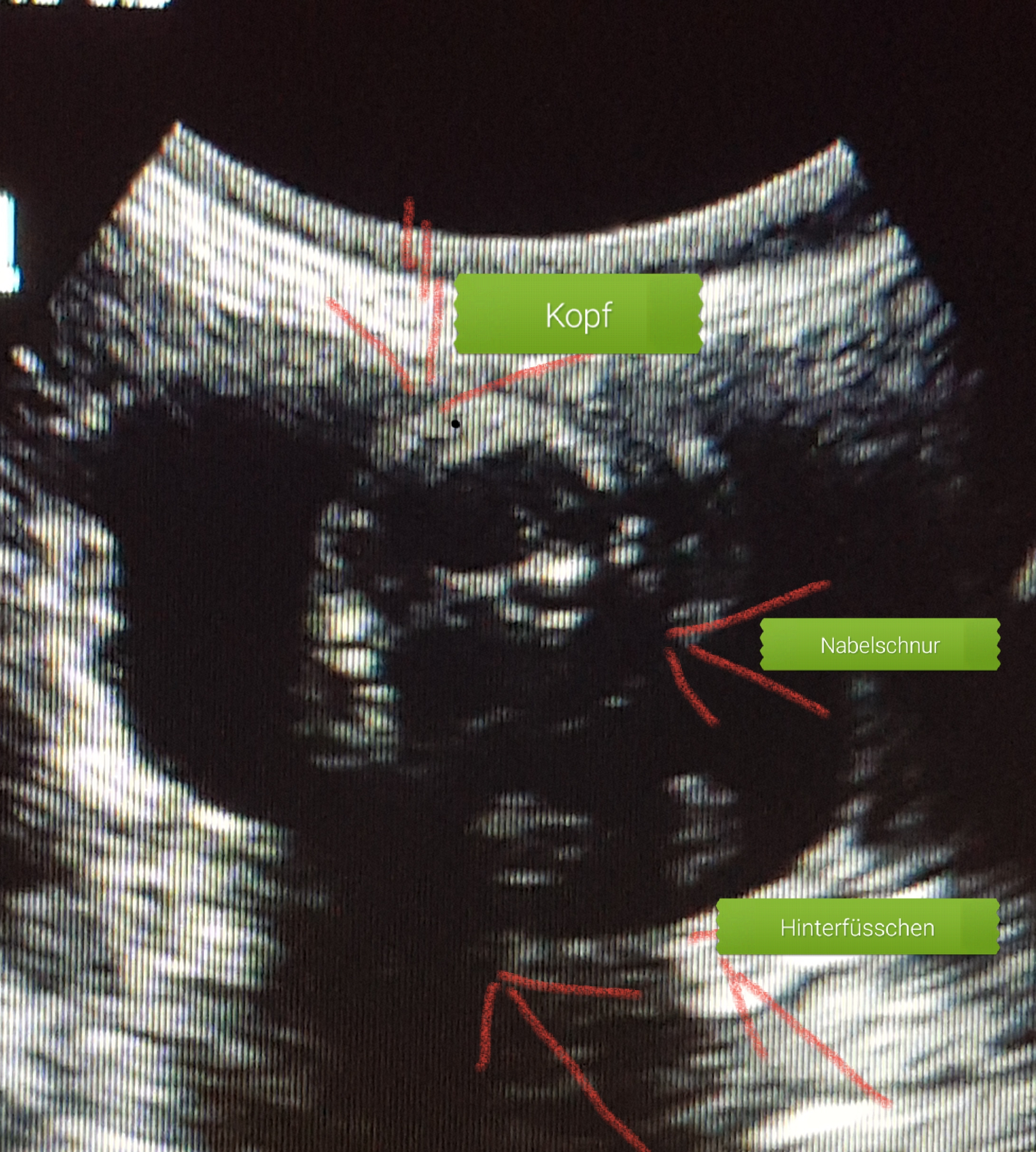
_Trächtigkeitsnachweiss/Ultraschall/ungefähre Anzahl
-Beratung und Betreuung
- Überprüfung von Vitalität und Wachstum
-Überwachung der Herztöne
-Geburtshilfe
-Aufzucht und Fütterung
-Entwurmungen
-Krallen Schneiden
1 .Ultraschalluntersuchung inkl.Beratung 40 euro
jede weitere Untersuchung /überprüfung der Vitalfunktionen während der Trächtigkeit 40 euro
-pro gefahrener km 30 cent
-Zeitfaktor hin und Rückfahrt bis 15 km 5 euro
Alles andere wird Individuell besprochen!!!
Wir erwarten anfang März 2022 Welpen es können noch Reservierungen angenommen werden!
